"The Skelton System has ability to regenerate itself as a part of repair process.
An individual body consist of 206 individual bones"

HOME ABOUT US PRODUCTS RESEARCH & EDUCATION CAREERS CONTACT US

"Unique design contributing to craniotomy"


Home » Products » Neurosurgery Products

 
Neurosurgery Products

B-OstIN Burr Hole Button

Wholesome Protection to brain

Chairman Structure similar to calvaria (Cranial Cap)
  • Dense head similar to outer layer of cranial cap – Mechanical strength
  • Billayer Porous stem similar to spongy layer of  cranial cap- Allows fibro vascular growth
Artifact free Digital Subtraction Angiogram

Prior to subtraction
After Subtraction

 

  Internal Carotid Artery and its branches visible.  
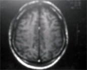
Also X-Ray, MRI and CT Scan Compatible
X-RAY
MRI with no distortion
CT Scan without Streak
Additional stability with reduced surgery time
  • Bone bonding within two weeks – providing add on stability to the flap
  • No instrumentation required
  • An easy to use design reducing surgery time
Cosmetic advantage in frontal lobe

 
Puckered Scars on scalp after surgery
without Burr Hole Button


No Puckered Scars on scalp after surgery with B-OstIN Burr Hole Button
 
 
Basic Health Care ©. All Rights Reserved.

Privacy Policy | Terms of Use

                   
 

About Us

  Professionals   Patients   Careers   Contact Us
  Who we are?   Application of Bone Graft   What is Bone?   HR Philosophy   Basic Healthcare Products Pvt. Ltd.
  How we do?   Clinical Relevance   What is Bone Graft?   Benefits   Phone: +91-7087804874
  Management   Why HAP?   Why Synthetic Bone Graft?   Open Positions   Email: info@basichealthcareproducts.com
          Application of Bone Graft?   Showcase arvinder@basichealthcareproducts.com
          Advantages & Disadvantages   Website: www.basichealthcareproducts.com